Curiosidades

Por un accidente descubrieron que su pene se transformaba en hueso: se escapó del hospital

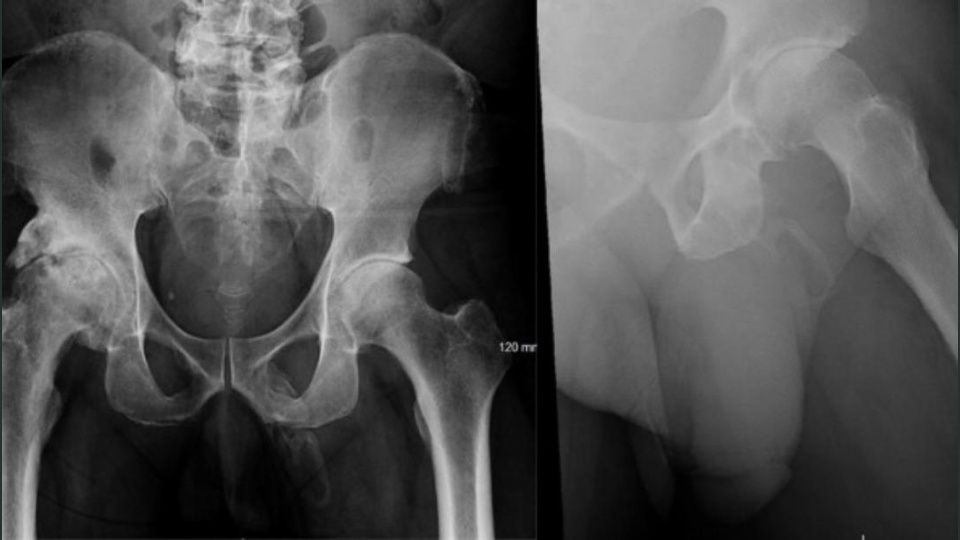
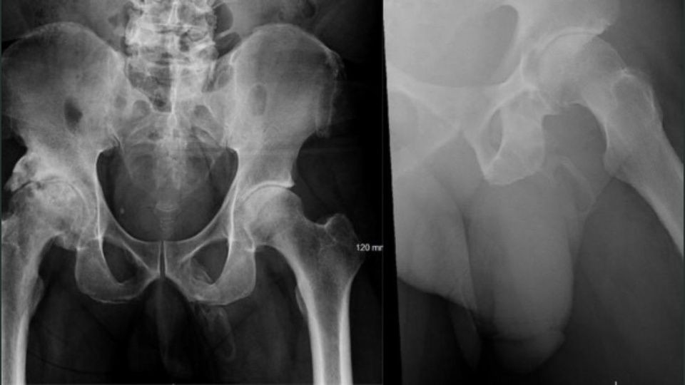
Al realizarle una radiografía para verificar que no se había roto la cadera mostró tejido óseo formándose en su pene.
Por Telefe Córdoba

Por un accidente descubrieron que su pene se transformaba en hueso: se escapó del hospital | Curiosidades
Curiosidades: Por un accidente descubrieron que su pene se transformaba en hueso: se escapó del hospital

Un extraño caso médico fue informado en Estados Unidos. Se trata de un hombre que descubrió que su pene se está volviendo hueso cuando los médicos le toman radiografías de las caderas después de una caída. El paciente fue visto por médicos en el Bronx, Nueva York, después de caer en la calle.

Al realizarle una radiografía para verificar que no se había roto la cadera mostró tejido óseo formándose en su pene.

Mientras lo revisaban, los médicos le tomaron una radiografía de la pelvis para verificar que no había huesos rotos, pero encontraron algo más extraño de lo que esperaban.

Le dijeron al hombre que se estaban formando células óseas dentro de su pene, en ese momento se levantó y salió del hospital, ignorando el consejo de los médicos y nunca regresó.

Lo diagnosticaron con una osificación, lo que significa que una parte del cuerpo se convierte lentamente en hueso.

Aparentemente descontento con el diagnóstico, el hombre dejó el hospital y no regresó para recibir tratamiento ni ninguna investigación para llegar a la raíz del problema.

En un informe de caso, los médicos, dirigidos por Georges El Hasbani de la Universidad Americana de Beirut, dijeron que la afección es "extremadamente rara". La osificación del pene sigue siendo una condición relativamente rara que se menciona en muy pocas revistas, con menos de 40 informes de casos publicados

Richard Viney, cirujano urólogo en Birmingham, no participó en el estudio de caso, pero explicó que probablemente fue causado por la enfermedad extrema de Peyronie.