Internacionales

Era fanático de las plantas, estaba arreglando su jardín y una infección de la tierra le disolvió el cerebro

La infección fue causada por un tipo de ameba que se encuentra en el suelo, el polvo y cuerpos de agua.
Por Telefe Córdoba

Era fanático de las plantas, estaba arreglando su jardín y una infección de la tierra le disolvió el cerebro | Internacionales
Internacionales: Era fanático de las plantas, estaba arreglando su jardín y una infección de la tierra le disolvió el cerebro

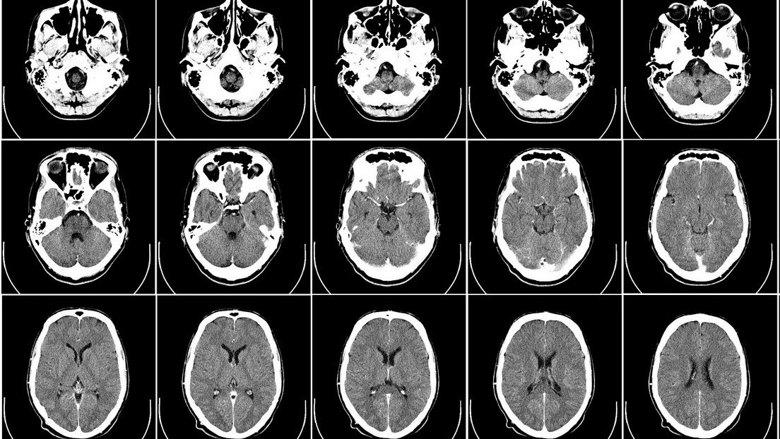
Un hombre que tenía como hobby la jardinería murió en Georgia (EE.UU.) tras contraer de una maceta una infección que acabó convirtiendo su cerebro en un líquido viscoso, según un estudio publicado la semana pasada en la revista New England Journal of Medicine.

La víctima, de 82 años, se expuso a tierra contaminada probablemente al llenar una maceta para sus plantas. A lo largo de las dos semanas siguientes, el hombre se fue debilitando y enfermando, hasta que tuvo que ser ingresado en un hospital.

La infección fue causada por un tipo de ameba que se encuentra en el suelo, el polvo y cuerpos de agua.

El informe realizado por investigadores de la Universidad Emory en Atlanta señala que un día después de ser ingresado, el lado derecho de su cuerpo se debilitó completamente, además de desarrollar un "estado mental alterado" y diversos problemas cognitivos.