Córdoba
Actualidad
Política y Economía
Internacionales
Deportes
Espectáculos
Micros
Vivo Talleres
Bienestar
ADL
IA para el Mundo
Salud
Vivo
Curiosidades
Revelan impresionantes imágenes del último tigre de Tasmania
Reapareció en Estados Unidos la extraña abeja azul que creían extinguida
Pizzería ganó dinero comprando sus propias pizzas a través de una app
Video: por la bajante histórica, anduvieron en moto en el lecho del río Paraná
Una chica le mandó mil kilos de cebolla a su ex novio para que "llorara como ella"
En el día de su cumpleaños, Máxima sorprendió cocinando un manjar argentino
Coronavirus: Distancia social a la Maryland
El barbijo "pac man" que te permite comer sin sacártelo
La sorprendente bebé de menos de 4 meses que ya se para sola
Una perra es abandonada junto a sus cachorros, pero igualmente abraza a su dueño
Sacerdote usa una pistola de agua para hacer las bendiciones
"Explíquenme qué es": halló un enorme insecto en su patio
Club pidió disculpas por poner muñecas inflables en las tribunas
VIDEO: el chef que cocinaba sin barbijo y escupió la comida
Virus, fascismo y gato, entre las palabras más buscadas en el diccionario RAE durante la pandemia
Coronavirus: Pandas vuelven a China porque se quedaron sin comida
Coronavirus: Cita en un bar con un panda
La Plata: esta noche pasará el tren de satélites de Elon Musk por segunda vez
Video: revelan qué tan rápido se puede propagar el coronavirus en un restaurante
Video viral: El cruce cara a cara de cuatro gatos callejeros y un perro
Coronavirus: el método de un café alemán para volver a atender a los clientes
El artista que recrea obras maestras con Playmobil: "Son un lenguaje universal"
A los 90 años, es récord Guinness como "youtuber gamer"
Video de TikTok: llamó su amante y se olvidó que tenía el celular conectado al auto
Singapur utiliza un robot "perro" para controlar el distanciamiento social por el coronavirus
Un papá Genial: divierte a su hija y vecinos con un disfraz diferente cada día
La sorpresa de los policías que quisieron detener a un pescador por violar la cuarentena
El extraño caracol de fuego que se volvió viral en las redes sociales
La historia detrás de la foto de la "bebé gigante" de Marie Kondo
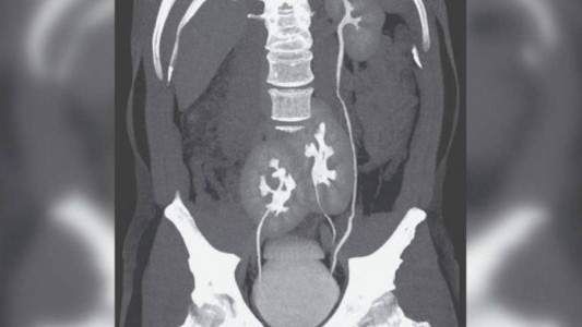
Fue al hospital por un dolor de espalda y descubrieron que tenía tres riñones
« Anterior
1
…
54
55
56
57
58
59
60
61
62
63
…
82
Siguiente »