Síndrome de Dravet: un tipo agresivo de epilepsia para el que demostró eficacia la terapia cetogénica
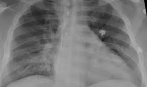
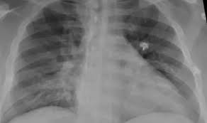
Qué es la neumonía bilateral, la enfermedad que produce más internaciones y muertes en pacientes con Cvid
Día Nacional de la Donación de Órganos: Presentan "Match", la nueva campaña de la Fundación Argentina de Trasplante Hepático
Mal de Parkinson: Una enfermedad crónica que no tiene cura, pero si se puede lograr una buena calidad de vida
Día Mundial de la Prevención del Cáncer de Colon y Recto: prevención y control a partir de los 50 años para reducir casos