Córdoba

Hospital de Córdoba Realiza Histórica Cirugía con Prótesis de Impresión 3D

En una hazaña médica sin precedentes en Córdoba y Argentina, el Hospital Raúl Ferreyra ha llevado a cabo una cirugía revolucionaria utilizando prótesis de impresión 3D. La intervención, dirigida por el cirujano Mario Bustos y su equipo, marca un hito en la cirugía torácica de alta complejidad.
Por Telefe Córdoba

Hospital de Córdoba Realiza Histórica Cirugía con Prótesis de Impresión 3D | Córdoba
Córdoba: Hospital de Córdoba Realiza Histórica Cirugía con Prótesis de Impresión 3D

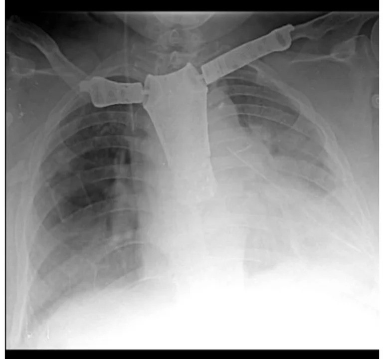
La paciente, una mujer de 61 años procedente de Miramar, fue sometida a esta operación innovadora después de ser diagnosticada con un tumor maligno en la pared torácica que comprometía el esternón, ambas clavículas y la primera costilla izquierda.

El procedimiento implicó la extirpación del tumor y la reconstrucción de las áreas afectadas, incluida la sustitución del esternón, las clavículas y las articulaciones con prótesis de titanio fabricadas mediante impresión 3D. Este enfoque quirúrgico único permitió preservar la movilidad articular de las clavículas, lo que promete una mejor calidad de vida para la paciente en su recuperación.

El cirujano Bustos destacó la importancia de esta técnica avanzada, afirmando: "La cirugía implicaba sacar partes del cuerpo, con las prótesis 3D se logró ese reemplazo. Esto lo logró la planificación 3D. Que yo tenga conocimiento es la primera vez que se haya puesto una prótesis de este tipo en Córdoba y Argentina”.

La empresa RAOMED desarrolló la prótesis personalizada en impresión 3D, que fue fundamental para el éxito de la intervención. Durante las 7.5 horas de cirugía, se llevó a cabo la resección del tumor con márgenes oncológicos adecuados, seguida de la colocación de la prótesis y la cobertura con colgajos musculares.

La paciente, cuyo estado de salud es óptimo, se encuentra actualmente en proceso de recuperación bajo cuidados intensivos en el Hospital Raúl Ferreyra. La exitosa operación destaca el compromiso del hospital y la calidad de las prestaciones de APROSS en la realización de procedimientos quirúrgicos de alta complejidad que marcan la diferencia en la atención médica.